Cirugía de Juanetes, Hallux Valgus en Levante Foot Center Ondara
¿Qué es un Hallux Valgus o Juanete?
Se considera una protuberancia o deformidad ósea que aparece en el primer radio, causando dolor, inflamación, y deterioro de la articulación por la desviación del dedo gordo hacia el segundo, pudiendo provocar el deterioro de la piel por la presión del calzado.
Una solución Rápida y definitiva para los juanetes
La intervención se resuelve mediante mini-incisiones de 2mm permitiendo al paciente volver a casa caminando prácticamente sin dolor con un zapato especial, sin utilizar tornillos ni agujas con solo unos vendajes y reduciendo el estrés y los tiempos de recuperación para el paciente.
Dr. Rubén Lorca Gutiérrez
Especialista en Cirugía del Pie de Mínima Incisión
Un juanete o hallux valgus es una deformidad ósea, generalmente causada por una desviación de la articulación del dedo gordo del pie.
Factores genéticos, calzado inadecuado, alteraciones en la estructura ósea del pie y otras condiciones médicas.
No, aunque hay algunos casos en que las medidas conservadoras pueden contribuir a moderar los síntomas. Como el uso de plantillas podológicas junto a un buen calzado.
Los ejercicios no pueden corregir los juanetes, pueden ayudar a fortalecer los músculos del pie y mejorar la flexibilidad, pudiendo aliviar los síntomas.
Pueden proporcionar un alivio temporal y ayudar a enlentecer el empeoramiento de los juanetes, pero no corregirlos de forma permanente.
Desde el primer momento que aparecen los juanetes, el cartílago empieza a estar afectado, con este tipo de técnicas quirúrgicas evitamos de manera poco invasiva que avance la destrucción de la articulación.
La CMI es la técnica quirúrgica de elección que con incisiones muy pequeñas y No utilizando elementos de osteosíntesis (ni tornillos ni agujas) Sin practicamente dolor en el postoperatorio, que dura aproximadamente 4 semanas, se consigue la corrección de toda la deformidad, con una recuperación más rápida.
No, el dolor postoperatorio en cirugía mínimamente invasiva es inexistente, en algunos casos puede aparecer una ligera molestia que con tan solo un analgésico oral es suficiente.
No, los juanetes operados que vuelven a salir es por consecuencia de un mal planteamiento quirúrgico, en el que no se emplean todas las técnicas necesarias para su corrección o se han seleccionado mal, sin tener en cuenta otros factores. Para evitar todo tipo de recidivas hay que hacer una buena valoración personalizada diagnosticando la causa para poder emplear la técnica adecuada asegurando el éxito.
Las realizamos en un entorno hospitalario, o en Clínicas dotadas de quirófano homologados por sanidad con estrictas medidas y equipos de seguridad para garantizar un tratamiento de alta calidad. Realizamos la operación de juanetes en Valencia y en otros centros de colaboradores de confianza repartidos por el resto de España.
Cirugía de Juanetes, Hallux Valgus
Casos reales resueltos con Cirugía de Mínima Incisión (CMI)
Te mostramos casos reales resueltos mediante cirugía de mínima incisión por el Dr. Rubén Lorca y su equipo.
Mueve las flechas para visualizar el antes y después.
Solicite cita previa - Si lo prefiere llámenos al teléfono 966 477 635
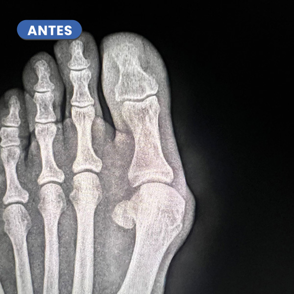
La Radiografía presenta el antes y el después a los 20 días del control radiológico tras la cura. Se aprecia la evolución en la consolidación ósea y la corrección de la articulación del hallux.
En la imagen cabe destacar la desaparición del juanete y del heloma o cayo sobre el cuarto dedo.
La corrección del Juanete nos permite modificar la desestructuración de los dedos menores segundo y tercero que este caso está en ráfaga y este último sobre el dedo vecino, cuarto dedo.
En este caso típico que el Juanete es la causa de una lesión dérmica, que en múltiples ocasiones tarda en curar por el compromiso o roce con el calzado.
Lo llamativo de la imagen postquirugica inmediata es la corrección biomecanica que se ha ejercido colocando la cabeza del metatarsiano que se encontraba luxada dentro de la zona articular de los sesamoideos.